지금은 전화 상담이 어렵습니다. 연락처 남겨주시면, 확인 후 연락 드리겠습니다.

  • 이름  
  • 연락처  
  • [보기]

HOME  >  원스텝코성형  > 낮은코성형

삼성드림의
원스텝 낮은코 성형

낮은코 성형과 코기능 회복을 한번에

자신있는 나의 옆모습 찾기삼성드림이비인후과와 함께하세요.

  • 낮은코 낮은코 전사진
  • 낮은코 비중격만곡증 비정상
  1. 01

    수술 전 철저한 분석으로 코의 외적인 부분(낮은코)뿐만 아니라 코의 기능(비중격만곡증, 비염, 축농증 등)도 생각한 수술

  2. 02

    인공 보형물의 사용을 최대한 줄이고 자가연골 특히 비중격 연골을 이용하여 기존 수술의 부작용을 줄이고 아름다우면서 자연스러운 결과 도출

  3. 03

    단순히 콧대만 높이는 수술이 아닌 얼굴형과 어울리는 자연스러운 코성형

삼성드림의 원스텝 낮은코 성형 사례

코의 겉모양
낮은코 전후사진 Before 낮은코 전후사진 낮은코 전후사진 After
낮은코 전후사진 Before 낮은코 전후사진 낮은코 전후사진 After
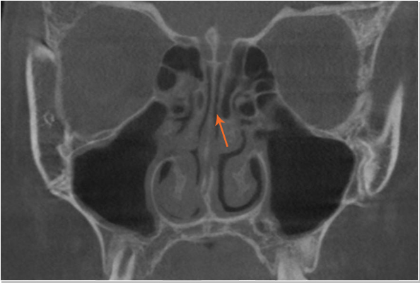
코의 내부구조
낮은코 내부구조 CT 사진 비중격 만곡증
낮은코 내부구조 CT 사진 커져있는 코덧살(비염)

수술 전후사진

비중격만곡증 교정술, 고주파 비염수술로 코의 기능을 회복시킴
절골술 및 비중격만곡증 교정술로 휘어진 코 교정

낮은코 전후사진 Before 낮은코 전후사진 낮은코 전후사진 After
낮은코 전후사진 Before 낮은코 전후사진 낮은코 전후사진 After
X

로그인

클릭하신 영상은 후기 영상입니다.
의료법에 따라 로그인을 하셔야 볼 수 있습니다.

SNS 계정으로 간편하게 회원가입/로그인하세요.
탈퇴가 자유로우니 부담 갖지 마세요.

네이버 계정으로 로그인 카카오계정 로그인 페이스북 로그인 삼성드림 회원가입
창닫기
전화상담
[보기]

비급여 의료 수가표

  • ※ 전지점 통합 비급여수가표로 각 지점별로 일부 항목이 없거나 상한금액의 차이가 있을 수 있습니다.
      (단, 상기 상한금액을 초과하지 않습니다.)
  • ※ 수술 종류와 갯수에 따라 시행 횟수 및 금액 차이가 있을 수 있으니 참고 부탁드립니다.
  • ※ 각 지점별 세부항목은 안내데스크에 별도로 비치되어 있으니 방문시 참고하시길 바랍니다.
레이어팝업닫기

성형 수술 계약금에 대한 반환 기준

레이어팝업닫기
연락처를 남겨주시면
- -
익일 오전중으로 연락 드리겠습니다.
*단, 주말, 공휴일 제외

온라인상담

닫기