지금은 전화 상담이 어렵습니다. 연락처 남겨주시면, 확인 후 연락 드리겠습니다.

  • 이름  
  • 연락처  
  • [보기]

HOME  >  원스텝코성형  > 코재수술

코재수술은 코건강과
코모양을 함께 생각하는

삼성드림이비인후과에서 새로운 나를
다시 만들어 보세요.

  • 코재수술 코재수술 전사진
  • 코재수술 비염 비정상

코재수술 이럴 때 생각해 보세요.

  1. 01

    코 끝에 구축현상이 생긴 경우

  2. 02

    코성형시
    넓은 보형물이 이동한 경우

  3. 03

    콧등에 물이 찬 경우

  4. 04

    코 모양이 얼굴과 어울리지 않는 경우

  5. 05

    실리콘에 의해
    코끝이 변형된 경우

삼성드림의 원스텝 코 재수술이란?

  1. 1. 코재수술과 코기능 회복을 한번에
    코재수술
    코재수술
    plus
    염증과 코의 외형 변화로 인한 코기능 이상
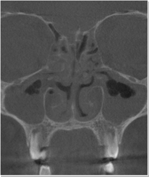
    코재수술 CT 전후사진

    비염

    코재수술 CT 전후사진

    비중격만곡증

    코재수술 CT 전후사진

    축농증

  2. 2. 자가 연골 사용으로 추후 부작용 최소화

    자가조직의 사용재수술 시 인공 보형물을 사용할 경우 다시 실패하거나 염증, 변형이 생길 가능성이 높습니다. 따라서 자가 조식을 사용하는 것이 좋습니다.

    귀연골 비중격연골 늑연골
  3. 3. 얼굴형과 어울리는 자연스러운 코재수술
    코재수술 전후사진 Before 코재수술 전후사진 코재수술 전후사진 After
    코재수술 전후사진 Before 코재수술 전후사진 코재수술 전후사진 After
X

로그인

클릭하신 영상은 후기 영상입니다.
의료법에 따라 로그인을 하셔야 볼 수 있습니다.

SNS 계정으로 간편하게 회원가입/로그인하세요.
탈퇴가 자유로우니 부담 갖지 마세요.

네이버 계정으로 로그인 카카오계정 로그인 페이스북 로그인 삼성드림 회원가입
창닫기
전화상담
[보기]

비급여 의료 수가표

  • ※ 전지점 통합 비급여수가표로 각 지점별로 일부 항목이 없거나 상한금액의 차이가 있을 수 있습니다.
      (단, 상기 상한금액을 초과하지 않습니다.)
  • ※ 수술 종류와 갯수에 따라 시행 횟수 및 금액 차이가 있을 수 있으니 참고 부탁드립니다.
  • ※ 각 지점별 세부항목은 안내데스크에 별도로 비치되어 있으니 방문시 참고하시길 바랍니다.
레이어팝업닫기

성형 수술 계약금에 대한 반환 기준

레이어팝업닫기
연락처를 남겨주시면
- -
익일 오전중으로 연락 드리겠습니다.
*단, 주말, 공휴일 제외

온라인상담

닫기